Restore Your Smile and Save!
Enjoy $1,600 off dental implants (per tooth) plus a free consultation.
Choose Dental Implants—The Gold Standard of Tooth Replacement
Say goodbye to gaps and hello to confidence! Dental implants look, feel, and function like natural teeth—letting you eat, laugh, and live life worry-free. They’re a long-lasting, comfy solution that supports bone health and your beautiful smile.
Right now, KoKo Dental Care is offering free dental implant consultations and a discounted implant price of $3,600 per tooth (regularly $5.200 per tooth). *Please note—this does not include extractions, bone grafts, or temporary tooth solutions while waiting for your final restoration.
Schedule your implant consultation online today!
Schedule Online
Meet Your Dental Implant Dentist
Dental Implant Advantages
Natural Appearance
Dental implants are crafted to blend seamlessly with your natural teeth. Their color, shape, and fit are customized to match surrounding teeth, making them virtually indistinguishable. They restore both function and aesthetics, offering a confident, natural-looking smile.
Natural Function
Dental implants function like natural tooth roots by anchoring securely into the jawbone. They provide a stable foundation for replacement teeth, preserving bone structure, maintaining facial integrity, and enabling normal chewing, speaking, and overall oral function with a natural look and feel.
High Durability
Dental implants are exceptionally durable, often lasting decades or even a lifetime with proper care. Made from biocompatible materials like titanium, they resist corrosion and wear, providing a stable, long-lasting foundation for replacement teeth that withstand daily function and pressure.
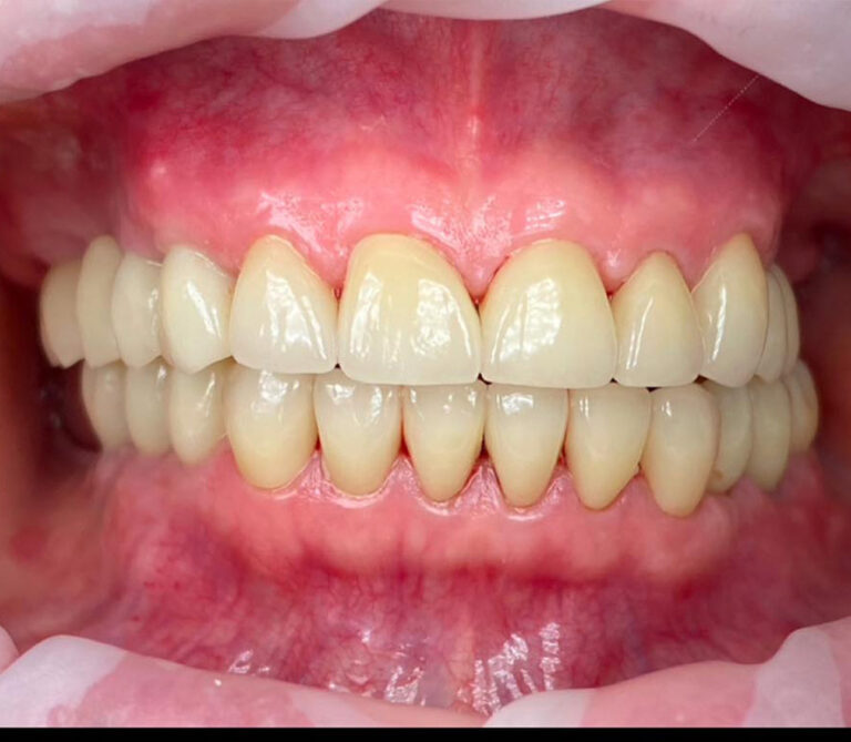
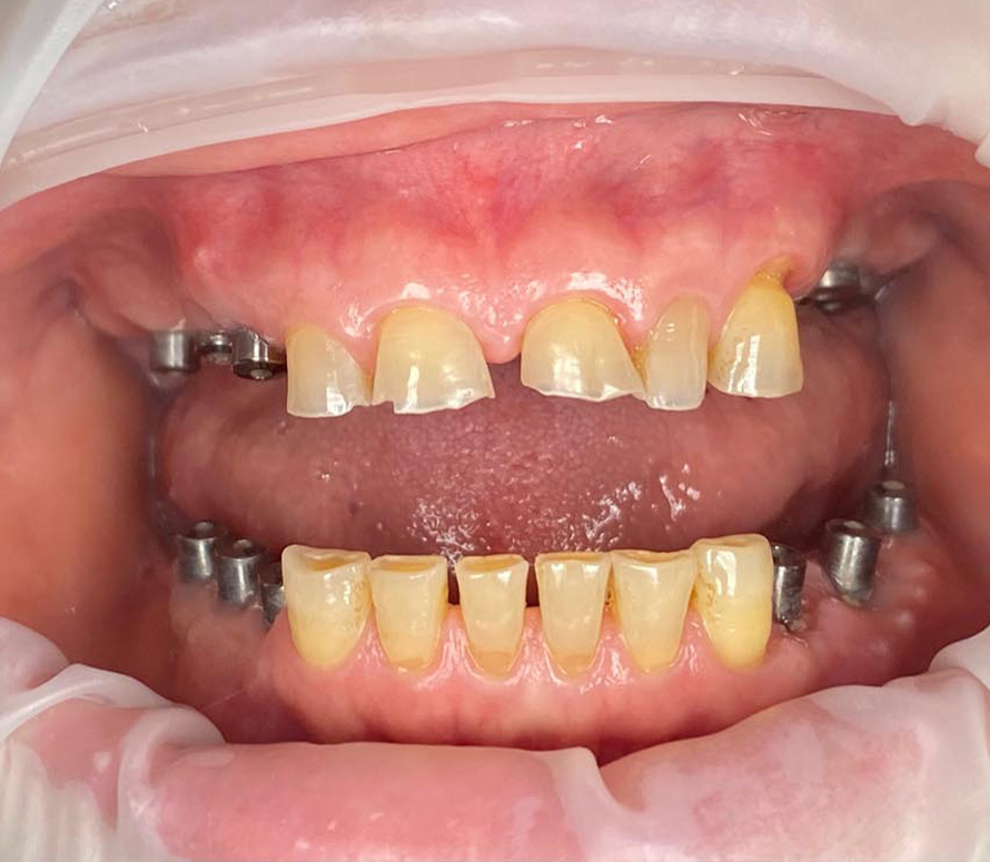
Dental Implant Before & After Photos
Dental implants can truly offer life-changing health and aesthetic results. Don't just take our word for it—check out these before and after photos below from some of our patients who are enjoying the benefits of dental implants.
Dental Implant FAQs
-
What exactly are dental implants, and how do they work?
Dental implants are like high-tech roots for your new smile! Made of titanium, they’re gently placed into your jawbone to replace missing tooth roots. Once healed, they support crowns, bridges, or dentures that look and function like real teeth. It’s like giving your smile a second chance—only stronger!
-
Do dental implants hurt?
Honestly? Not as much as you might think! Most patients say getting a dental implant is easier than a tooth extraction. You’ll be comfortably numb during the procedure, and mild soreness afterward can usually be handled with over-the-counter meds. Many people are surprised at how smooth the recovery is.
-
How long do dental implants last?
Dental implants can last 20+ years—often a lifetime with proper care! Brush, floss, and visit your dentist regularly, and your implants will stay strong and fabulous. They’re one of the most durable and reliable solutions in modern dentistry.
-
What is the post-surgery recovery process like?
Recovering from a dental implant is easier than you’d think. Expect mild swelling, soft foods, and some rest while your implant site heals beautifully. With good oral hygiene and follow-up visits, you’ll be smiling brighter and stronger in no time.
-
Am I a good candidate for dental implants?
Great question! Most healthy adults are good candidates. You’ll need healthy gums and enough jawbone to support the implant. If you’ve been missing teeth for a while or have had bone loss, don’t worry—bone grafting and other solutions can help. A quick consultation with our team will clear things up.
Ready for Your Dental Implant Consultation?
If you're looking for an ideal smile restoration option, dental implants may be right for you. Schedule a free consultation with us today to learn more!
Schedule a Dental Implant Consultation Online